اكتب مقالاً عن
آي إي 11 غير مدعوم. للحصول على تجربة مثالية قم بزيارة موقعنا على متصفح آخر.
التشغيل الآن
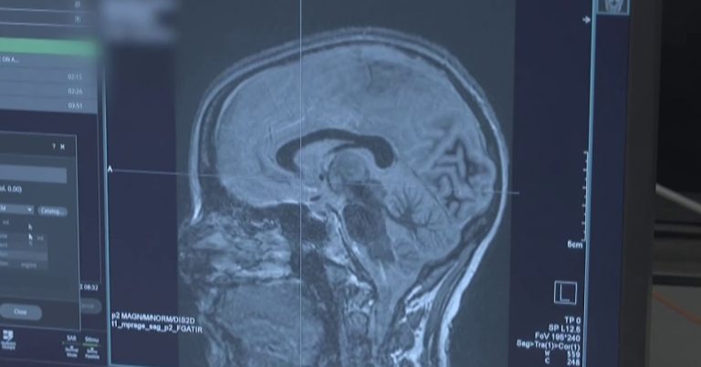
توفر التكنولوجيا الجديدة الأمل لمرضى باركنسون
04:47
التالي
دراسة جديدة تكشف عدم وجود آثار سلبية للفلورايد على وظائف المخ
02:28
توصي الإرشادات الجديدة الخاصة بالكوليسترول بالعلاج في الثلاثينيات من عمرك
02:35
يؤثر النقص في الأطباء المتخصصين الحاسمين على المرضى على الصعيد الوطني
02:22
مؤسس Solidcore يتحدث عن ريادة الأعمال، فصل جديد كأم
07:28
طبيب الأمراض الجلدية يفضح المفاهيم الخاطئة حول العناية بالبشرة في فصل الربيع
04:45
هل “هواء المكتب” يفسد مظهرك في العمل؟ العلم يقول أنه ممكن
03:07
هل يشعر الرجال والنساء بالألم بشكل مختلف؟ ماذا يقول الخبراء
04:26
ظهرت أكياس النيكوتين الشهيرة في الحملة الإعلانية ضد المنتجات المسببة للإدمان
02:49
كيفية فهم النتائج المخبرية لفحوصات الدم الروتينية
04:23
انطلق في أبريل 2026 مع تحدي المشي اليوم
05:55
كيفية التعامل (والازدهار) أثناء انقطاع الطمث وفترة ما قبل انقطاع الطمث
03:56
تيري وريبيكا كروز يتحدثان بصراحة عن رحلتها مع مرض باركنسون
07:23
يظهر التقرير زيادة في مكالمات مركز السموم المرتبطة بمنتجات الكافا المحتوية على القرطوم
03:28
هل تريد أن تعيش حياة ذات معنى؟ اسأل نفسك هذه الأسئلة الثلاثة
04:14
هل الكولاجين هو المفتاح للحصول على توهج شبابي أم أن الأمر كله مجرد ضجيج؟
04:08
كيفية الوقاية من الأعراض الشائعة لحساسية الربيع
04:16
وافقت إدارة الغذاء والدواء الأمريكية على حبوب إنقاص الوزن الجديدة التي تنتجها شركة Eli Lilly
03:11
قلل من أعراض حساسية الربيع باستخدام نصائح الخبراء هذه
04:20
أرملة تناضل من أجل تغيير القانون بعد معركة التأمين
02:46
لا تنزعج الآن
تمنح تقنية جديدة الأمل في مكافحة مرض باركنسون، الذي يصيب أكثر من مليون أمريكي. يقدم الدكتور أكشاي سيال من NBC News تقريرًا عن التحفيز العميق للدماغ ويجري مقابلات مع امرأة تم تشخيصها في الثلاثينيات من عمرها وتقول إن هذه التكنولوجيا تغير حياتها. 14 أبريل 2026
اقرأ المزيد
التشغيل الآن
توفر التكنولوجيا الجديدة الأمل لمرضى باركنسون
04:47
التالي
دراسة جديدة تكشف عدم وجود آثار سلبية للفلورايد على وظائف المخ
02:28
توصي الإرشادات الجديدة الخاصة بالكوليسترول بالعلاج في الثلاثينيات من عمرك
02:35
يؤثر النقص في الأطباء المتخصصين الحاسمين على المرضى على الصعيد الوطني
02:22
مؤسس Solidcore يتحدث عن ريادة الأعمال، فصل جديد كأم
07:28
طبيب الأمراض الجلدية يفضح المفاهيم الخاطئة حول العناية بالبشرة في فصل الربيع
04:45
لا تنزعج الآن
أخبار ليلية Netcast
لعب الكل باللغة العربية لتسهيل قراءته. حدّد المحتوى باستخدام عناوين أو عناوين فرعية مناسبة (h1، h2، h3، h4، h5، h6) واجعله فريدًا. احذف العنوان. يجب أن يكون المقال فريدًا فقط، ولا أريد إضافة أي معلومات إضافية أو نص جاهز، مثل: “هذه المقالة عبارة عن إعادة صياغة”: أو “هذا المحتوى عبارة عن إعادة صياغة”:

