Close Menu
    اختيارات المحرر

    الصناعات الدفاعية في الإمارات.. نمو متواصل وطموحات كبيرة

    مايو 5, 2026

    في عيد ميلادها.. هكذا كرّست ميريام فارس نفسها أيقونة للإطلالات المسرحية الجريئة

    مايو 5, 2026

    حُكم على سائق شركة FedEx بالإعدام بتهمة قتل أثينا ستراند البالغة من العمر 7 سنوات في تكساس

    مايو 5, 2026
    فيسبوك الانستغرام يوتيوب تيكتوك
    الأربعاء, مايو 6, 2026
    • من نحن
    • اتصل بنا
    • الشروط والأحكام
    • سياسة الخصوصية
    فيسبوك الانستغرام يوتيوب تيكتوك
    NanamediaNanamedia
    English
    • الرئيسية
    • ثقافة وفن
    • منوعات
    • رياضة
    • سينما
    • موضة وازياء
    • اقتصاد
    • صحة
    • تكنولوجيا
    • تقارير و تحقيقات
    • آراء
    NanamediaNanamedia
    English
    أنت الآن تتصفح:الرئيسية»صحة»ما هو الارتجاج الدماغي وكيف نعالجه؟ – DW – 2025/7/25
    صحة

    ما هو الارتجاج الدماغي وكيف نعالجه؟ – DW – 2025/7/25

    Nana MediaNana Mediaيوليو 25, 2025لا توجد تعليقات1 دقائق
    فيسبوك تويتر بينتيريست لينكدإن Tumblr البريد الإلكتروني
    ما هو الارتجاج الدماغي وكيف نعالجه؟ – DW – 2025/7/25
    شاركها
    فيسبوك تويتر لينكدإن بينتيريست البريد الإلكتروني

    اكتب مقالاً عن 2025/7/25٢٥ يوليو ٢٠٢٥

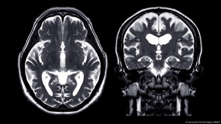
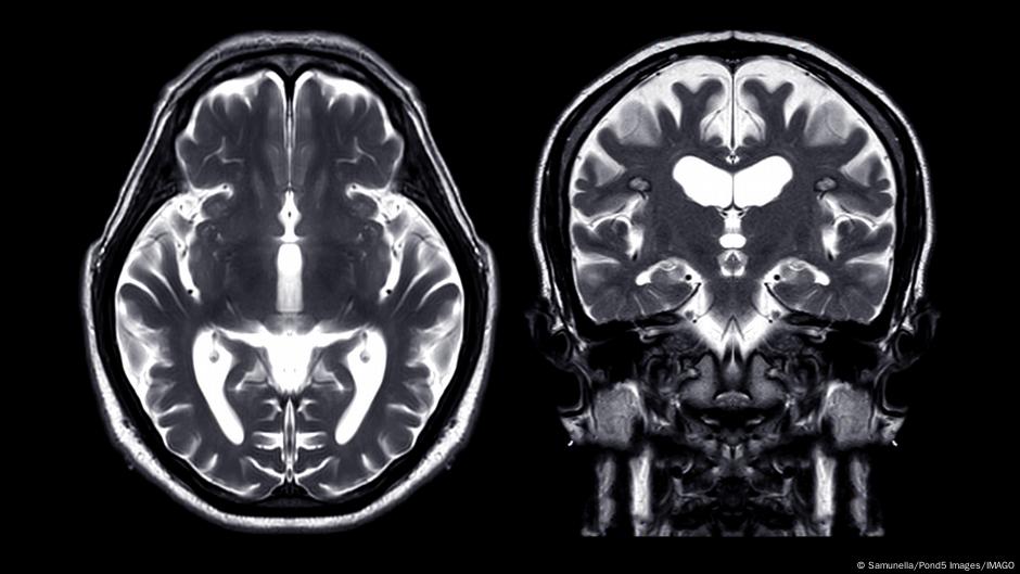
    الارتجاجات الدماغية شائعة بشكل خاص في الرياضة، وغالبًا لا يُؤخذ الأمر على محمل الجد مع أن مثل هذه الإصابة الدماغية الرضّية يمكن أن تكون لها عواقب وخيمة.

    https://p.dw.com/p/4xxta

    باللغة العربية لتسهيل قراءته. حدّد المحتوى باستخدام عناوين أو عناوين فرعية مناسبة (h1، h2، h3، h4، h5، h6) واجعله فريدًا. احذف العنوان. يجب أن يكون المقال فريدًا فقط، ولا أريد إضافة أي معلومات إضافية أو نص جاهز، مثل: “هذه المقالة عبارة عن إعادة صياغة”: أو “هذا المحتوى عبارة عن إعادة صياغة”:

    شاركها. فيسبوك تويتر بينتيريست لينكدإن Tumblr البريد الإلكتروني
    السابقالإفراط في التعرض للشمس يتسبّب بزيادة التجاعيد » وكالة الانباء العراقية (واع)
    التالي ضغوط طهران وتهديدات الفصائل.. الحكومة العراقية أمام اختبار السيادة
    Avatar photo
    Nana Media
    • موقع الويب

    المقالات ذات الصلة

    حُكم على سائق شركة FedEx بالإعدام بتهمة قتل أثينا ستراند البالغة من العمر 7 سنوات في تكساس

    مايو 5, 2026

    دراسة: بطء أو تسارع ضربات القلب يزيدان خطر السكتة الدماغية

    مايو 5, 2026

    فيديو. آن هاثاواي وإميلي بلانت وسيرينا ويليامز يتألقن على سجادة ميت غالا الحمراء

    مايو 5, 2026
    الأخيرة

    الصناعات الدفاعية في الإمارات.. نمو متواصل وطموحات كبيرة

    مايو 5, 2026

    في عيد ميلادها.. هكذا كرّست ميريام فارس نفسها أيقونة للإطلالات المسرحية الجريئة

    مايو 5, 2026

    حُكم على سائق شركة FedEx بالإعدام بتهمة قتل أثينا ستراند البالغة من العمر 7 سنوات في تكساس

    مايو 5, 2026

    رسالة من نادية مصطفى للرئيس السيسي بشأن جنازة هاني شاكر

    مايو 5, 2026
    الأكثر قراءة
    تقارير و تحقيقات أغسطس 30, 2025

    الأحزاب الناشئة في العراق.. حضور رمزي في مواجهة نفوذ المال والإعلام والسلاح

    تكنولوجيا فبراير 23, 2026

    إطلاق أول تطبيق مراسلة “مشفّر”.. ثورة في عالم الدردشة

    تقارير و تحقيقات يونيو 3, 2025

    استعراض لسيناريوهات المجموعة الثانية.. و “الخصم المحتمل” لأسود الرافدين » وكالة بغداد اليوم الاخبارية

    من نحن
    من نحن

    مرحبًا بكم في نانا ميديا، مصدر الأخبار الموثوق الذي يواكب كل ما يحدث في العالم لحظة بلحظة. نقدم لكم تغطية شاملة للأخبار المحلية والدولية، حيث نرصد تطورات العرب والعالم، ونحلل أبرز الأحداث الاقتصادية، ونسلط الضوء على آخر مستجدات الرياضة، السينما، والثقافة والفن. نهدف إلى تقديم محتوى دقيق ومتنوع يلبي اهتمامات قرائنا في مختلف المجالات.

    الأكثر مشاهدة

    مهرجان ميزوبوتاميا الدولي للشعر في لاهاي: أصوات العالم تتحد ضد العنصرية

    سبتمبر 4, 2025180 زيارة

    مهرجان أفلام الشرق الأوسط وشمال أفريقيا في لاهاي ينطلق عبر الإنترنت لتوسيع دائرة جمهوره

    سبتمبر 25, 202525 زيارة

    مهرجان Film-I الدولي يعود إلى أبوظبي: منصة جديدة لترسيخ السينما الإماراتية والانفتاح على الإنتاج العابر للحدود

    يناير 28, 202623 زيارة

    نشرتنا الإخبارية

    اشترك معنا لتصلك آخر الأخبار مباشرة إلى بريدك الإلكتروني!!

    نحن لا نرسل رسائل غير مرغوب فيها! اقرأ سياسة الخصوصية الخاصة بنا لمزيد من المعلومات.

    Check your inbox or spam folder to confirm your subscription.

    © 2026 حقوق النشر. جميع الحقوق محفوظة لـ Nanamedia.org
    • من نحن
    • اتصل بنا
    • الشروط والأحكام
    • سياسة الخصوصية

    اكتب كلمة البحث ثم اضغط على زر Enter