إجراء جراحة نادرة لاستئصال ورم خبيث بالأردن
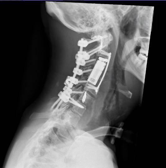
نجح فريق طبي في مركز الحسين للسرطان بالأردن في إجراء جراحة نوعية دقيقة تُعد الأولى في الأردن لاستئصال ورقم خبيث حجمه نحو 10.7 سم تموضع أمام الفقرات العنقية الثالثة والرابعة والخامسة، ووصل إلى الثقبة الفقرية وأثّر على الشريان الفقري.
تفاصيل العملية الجراحية
أجريت العملية قبل نحو شهرين لمريض عمره 31 عاماً كان يعاني صعوبة شديدة في التنفس والبلع، واستدعت إجراء فتحة تنفسية في الحنجرة وتركيب أنبوب تغذية مباشرة إلى المعدة، وأثبتت المتابعات المتواصلة نجاحها.
خطة العلاج المتعددة المراحل
وضع الفريق الطبي خطة علاج دقيقة متعددة المراحل بدأت بإغلاق أحد الشريانين الفقريين من خلال تدخلات بالأشعة شملت اختبار إغلاق الشريان بواسطة البالون، تلاه إغلاق دائم باستخدام الملفات الحلزونية بهدف تأمين المنطقة وتحضيرها للعملية الجراحية الكبرى.
المرحلة الجراحية
اشتملت المرحلة الجراحية على تثبيت خلفي للعمود الفقري من الفقرة العنقية الأولى حتى السابعة مع تحرير النخاع الشوكي وتأمين استقرار الفقرات قبل إجراء استئصال كامل للورم والفقرات المصابة بطريقة الاستئصال الكامل في كتلة واحدة عبر المدخل الأمامي، تلاه تعويض الفقرات باستخدام قفص فقري تمديدي مع تثبيت أمامي لضمان الثبات الكامل للعمود الفقري.
نجاح العملية وتعافي المريض
أكد د. محمد خليل البربراوي رئيس قسم جراحة العمود الفقري أن العملية نادرة ومعقدة وتتطلب خبرة عالية وتقنيات دقيقة تُعد الأولى من نوعها في الأردن، ولا تُجرى إلا في المراكز المتقدمة على مستوى العالم، نظراً لتشريح الورم المعقد واستئصال أكثر من فقرة عنقية إضافة إلى الشريان الفقري المصاب المجاور للورم. وأشار إلى استعادة المريض قدرته على التنفس الطبيعي بعد إزالة أنبوب التنفس وأنبوب التغذية، وعاد إلى تناول الطعام بصورة طبيعية، ويتمتع بحالة صحية مستقرة.

